開課時間:2019-06-02

栩栩如生的美學臨時修復物 (台北班)

分享到Facebook

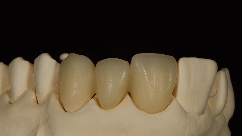
此次課程的目的著重於如何使用簡單的染色技巧來使臨時修復物達到栩栩如生的效果,另外除了對於臨床的染色修正外,也加入簡化Internal Stain的技法及針對前牙的型態修正調整技巧可以使醫師在染色前也可以對臨時修復體進行微調整,來達到最終修復體的理想外型及顏色.

 

課程亮點

Provisional的個性化染色技巧

仿真的Provisional染色技巧

Internal Stain Skill



課程講師

康建明 牙技師

全瓷美學, 華藝牙技牙體技術所負責人

康技師,不只是瓷燒的活靈活現,所以活靈活現,並不是牙齒做得很”跳”的美,而是將每一顆牙齒注入生命的美,放在病人口中所顯出的生命感,是一般牙技師所難以理解及詮釋的,但康技師的另一項絕活是攝影,牙科攝影是…...

推薦

GC Optiglaze Color
複合樹脂材料、壓克力樹脂材料提供栩栩如生的色彩

Email錯誤

Hide 密碼錯誤

忘記密碼?

這個帳號已經有人使用

Email格式錯誤

Hide 密碼位數不足

忘記您的密碼嗎? 請輸入您的Email. 我們將重新寄發一組密碼給您.

此Email非艾培歐網站會員,請試試其他Email

回到登入畫面

您好!帳號已通過驗證。
您需要先登入或註冊後才能繼續。

Email錯誤

Hide 密碼錯誤

Close